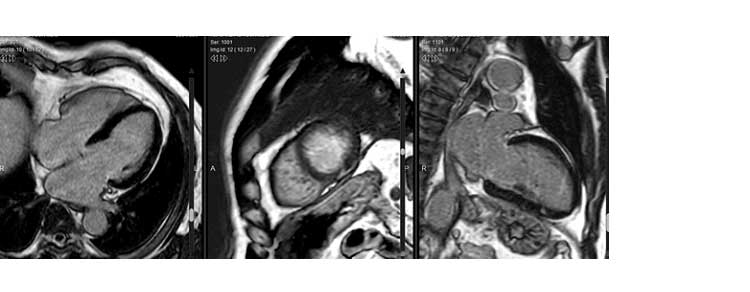
Lo studio permette di studiare la cinetica cardiaca e i difetti del muscolo miocardio dopo un infarto o per lo studio di patologie congenite. Può essere eseguito con e senza mezzo di contrasto in base alla patologia da analizzare.


Note utili: La nostra risonanza magnetica è infatti tra le poche apparecchiature a Roma e la prima della zona di Tivoli e Guidonia con un magnete ampio per eliminare l’effetto claustrofobico in maniera similare alla risonanza aperta.
E' possibile eseguire l’esame privato a basso costo senza rinunciare ad una prestazione di alta qualità in tempi d’attesa brevi e risposta rapida affidata ad una equipe di radiologi altamente specializzati.
E' possibile eseguire la risonanza magnetica al costo-del ticket con risonanza magnetica anti claustrofobia con magnete aperto da 70 cm.