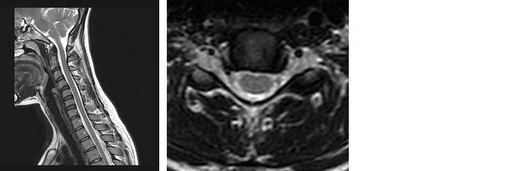
Lo studio della colonna cervicale, dorsale e lombo-sacrale risulta l’esame più richiesto in risonanza magnetica in quanto permette una ottima identificazione delle patologie discali erniarie. L’esame permette altresì una perfetta valutazione del midollo spinale. Grazie a sequenze T2 STIR è possibile evidenziare fratture vertebrali recenti.


Note utili: E' possibile eseguire la risonanza magnetica al costo-del ticket con risonanza magnetica anti claustrofobia con magnete aperto da 70 cm.
La nostra risonanza magnetica è infatti tra le poche apparecchiature a Roma e la prima della zona di Tivoli e Guidonia con un magnete ampio per eliminare l’effetto claustrofobico in maniera similare alla risonanza aperta.
È possibile eseguire l’esame privato a basso costo senza rinunciare ad una prestazione di alta qualità in tempi d’attesa brevi e risposta rapida affidata ad una equipe di radiologi altamente specializzati.